Diz vücuttaki en büyük eklemdir. Günlük aktiviteleri gerçekleştirmek için sağlıklı dizlere sahip olmak gerekir. Diz, uyluk kemiğinin alt ucu (femur), kaval kemiğinin üst ucu (tibia) ve diz kapağından (patella) oluşur. Bu üç kemiğin uçları, kemikleri koruyan ve eklem içinde kolayca hareket etmelerini sağlayan pürüzsüz bir yapı olan eklem kıkırdağıyla kaplıdır. Menisküsler femur ve tibia arasında bulunur. Bu C şeklindeki yapılar, eklemi tamponlayan amortisör görevi görür. Büyük bağlar femur ve tibiayı bir arada tutar ve stabilite sağlar. Uzun uyluk kasları dize kuvvet verir.

Dizin normal anatomik görünümü
Normalde bu bileşenlerin tümü uyum içinde çalışır. İlerleyen yaş ve aşırı kilo ile birlikte diz eklemindeki kıkırdak yapılar yıpranmaya ve giderek aşınmaya başlar. Buna genetik etkenler ve çevresel faktörler de eklenince süreç daha hızlı bir hal alır. Kıkırdak yapıların bu aşınmasına diz kireçlenmesi veya gonartroz denir.

Artritik kıkırdağın görünümü
Dizde Kireçlenmenin Sebepleri
Kronik diz ağrısı ve sakatlığın en yaygın nedeni artrittir. Artritin pek çok türü olmasına rağmen çoğu diz ağrısı sadece üç türden kaynaklanır:
|
•
|
Osteoartrit (Kireçlenme): Diz ekleminde sıklıkla görülen problemlerin başında kireçlenme gelir. Bu yaşa bağlı bir aşınma ve yıpranma tipi artrittir. Genellikle 50 yaş ve üzeri kişilerde görülür, ancak genç insanlarda da ortaya çıkabilir. Diz kemiklerini kaplayan kıkırdak yumuşar ve aşınır. Bu rahatsızlık erken dönemde tedavi edilmediğinde ilerleyerek hareket kısıtlığına ve ağrılara sebep olur. Kemikler daha sonra birbirine sürtünerek diz ağrısına ve sertliğe neden olur.
|
|
•
|
Romatizmal eklem iltihabı: Eklemi çevreleyen sinovyal zarın iltihaplanıp kalınlaştığı bir hastalıktır. Bu kronik inflamasyon kıkırdağa zarar verebilir ve sonunda kıkırdak kaybına, ağrıya ve sertliğe neden olabilir.
|
|
•
|
Travma sonrası artrit: Bu ciddi bir diz yaralanmasını takip edebilir. Dizi çevreleyen kemiklerin kırılması veya diz bağlarının yırtılması zamanla eklem kıkırdağına zarar vererek diz ağrısına neden olabilir ve diz fonksiyonunu kısıtlayabilir.
|
Total diz protezi aşınmış olan eklem yüzeylerinin, metal ve polietilenden imal edilen, ağrısız eklem hareketi için tasarlanmış özel parçalar ile kaplanarak yapay eklem oluşturulmasıdır.
Diz Protezi Kimlere Uygulanır?
Total diz protezi ameliyatı için mutlak bir yaş veya kilo sınırlaması yoktur. Ameliyat önerileri hastanın yaşına değil, ağrısına ve sakatlığına göre yapılır. Total diz protezleri, juvenil artritli genç ergenlerden, dejeneratif artritli yaşlı hastalara kadar her yaşta başarıyla gerçekleştirilir. Ancak ameliyat için tercih edilen yaş 50 ve üstüdür. Gelişen teknolojiyle birlikte protez ömrü artmış ve kullanım süreleri 25 yıla kadar çıkmıştır.
Total diz protezi ameliyatları aşağıdaki durumlarda yapılır:
|
•
|
Yürüme, merdiven çıkma ve sandalyeye oturup kalkma gibi günlük aktiviteleri sınırlayan şiddetli diz ağrısı veya sertliği,
|
|
•
|
Gündüz veya gece dinlenirken hissedilen orta veya şiddetli diz ağrısı,
|
|
•
|
Dinlenme veya ilaçlarla düzelmeyen kronik diz iltihabı ve şişmesi,
|
|
•
|
Dizin içe veya dışa doğru eğilmesi,
|
|
•
|
Antiinflamatuvar ilaçlar, kortizon enjeksiyonları, kayganlaştırıcı enjeksiyonlar, fizik tedavi veya diğer ameliyatlar gibi tedavilerle önemli ölçüde iyileşme sağlanamaması.
|
Ameliyat öncesinde hastanın şikayeti ve hikayesi dinlenir. Muayenede diz hareketleri, stabilite ve dizin gücü değerlendirilir. Ameliyat planlaması için röntgen filmleri çekilmelidir. Bazen dizdeki kemik ve yumuşak dokuların durumunu belirlemek için kan testleri veya manyetik rezonans görüntüleme (MRI) taraması gibi ileri görüntülemeler gerekebilir.
.png)
Bilateral gonartrozlu hasta grafisi

Dizin iç kısmında kıkırdak incelmiş ve buna bağlı olarak eklem aralığı daralmış.
Diz protezi ameliyatında bölgesel ya da genel anestezi kullanılır. Bölgesel anestezide hasta uyanıktır ve belden aşağısını ameliyat boyunca hissetmez. Genel anestezide ise hastanın bilinci tamamen kapalıdır. Cerrahi işlem genellikle 1 ila 1,5 saat kadar sürer. Ameliyatta hasarlı kıkırdak ve kemik çıkarılır ve ardından yeni metal ve plastik implantlar dizin hizasını ve işlevini eski haline getirecek şekilde yerleştirilir.



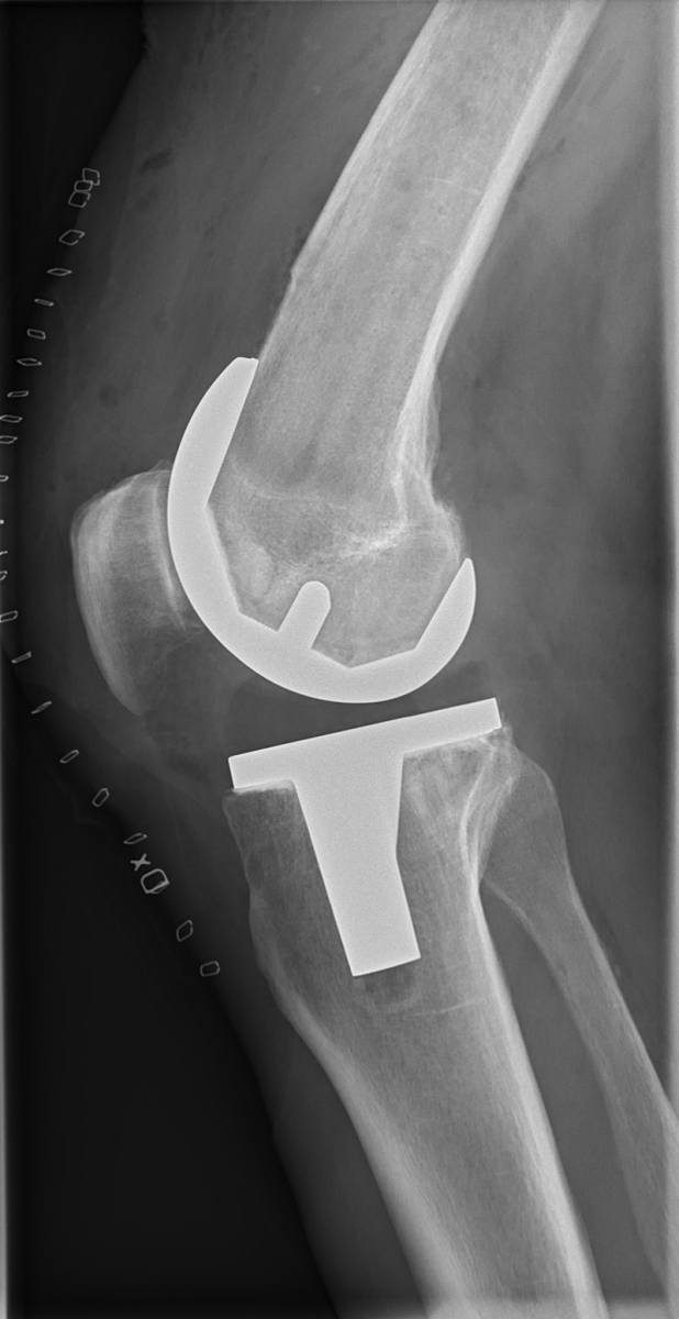
Diz protezi yapılmış hastanın iki yönlü grafisi
Ameliyatı Sonrası Bakım
Ameliyat sonrası hasta servise alınır. Hasta hastaneden 3-4 gün sonra taburcu edilir.
|
•
|
Ağrı Yönetimi: Diz protezi ameliyatından sonraki ilk günler ağrı olabilir, ancak basit ağrı kesicilerle kontrol altına alınabilir.
|
|
•
|
Yara Bakımı: Ameliyat yerine düzenli pansuman ve, dren takibi yapılmalıdır. Dren bir gün sonra çekilir. Dikişler 15 gün sonra alınır.
|
|
•
|
Tromboembolinin Önlenmesi: Kanın toplardamarlarda göllenerek pıhtılaşmasını önlemek için pıhtılaşmayı önleyici ilaçlar kullanılır ve hastaya özel çoraplar giydirilir. Bacak şişmesini ve kan pıhtılarını önlemeye yardımcı olmak amacıyla bacak kaslarındaki kan akışını artırmak için ameliyatın hemen ardından ayak ve ayak bileği hareketi de teşvik edilir.
|
|
•
|
Yürüme ve Egzersizler: Hasta ameliyatın ertesi günü yürüteç yardımıyla ayağa kaldırılır ve yürüyüşü kapsayan hafif egzersizlere başlanır. Bacağı güçlendirmek, yürüme ve diğer normal günlük aktivitelere izin vermek ve diz hareketini yeniden sağlamak için özel egzersizler öğretilir. Hasta rahat yürüyebilir hale geldiğinde hastaneden taburcu olabilir. Bu süre, hastadan hastaya çok farklılık göstermekle birlikte 3-4 gün arasında değişebilir.
|
|
•
|
Diyet: Ameliyattan sonraki birkaç hafta boyunca bir miktar iştah kaybı olabilir. Genellikle demir takviyesi içeren dengeli bir beslenme, uygun doku iyileşmesini desteklemek ve kas gücünü yeniden sağlamak için önemlidir. Bol miktarda sıvı alınmalıdır.
|
Evde Bakım
Ameliyatın başarısı büyük ölçüde ameliyattan sonraki ilk birkaç hafta boyunca doktorunuzun talimatlarını evde ne kadar iyi uyguladığınıza bağlı olacaktır. İyileşme sürecinin hızlı bir şekilde tamamlanması, rahat geçmesi ve aynı zamanda herhangi bir komplikasyona maruz kalınmaması için önem gösterilmesi gereken konular şunlardır:
|
•
|
Başlangıçta evde ve daha sonra dışarıda kademeli bir yürüyüş programı
|
|
•
|
Oturmak, ayakta durmak ve merdiven çıkmak gibi diğer normal ev aktivitelerine devam etmek
|
|
•
|
Hareketi yeniden sağlamak ve dizin güçlendirilmesi için günde birkaç kez özel egzersizlerin yapılması.
|
İlaç Kullanımı: Olası enfeksiyon ve emboli risklerine karşı hekim tarafından verilen ilaçlar düzenli bir şekilde kullanılmalıdır.
Hastalar 6 haftanın sonunda daha aktif hayata dönerler. Tamamen iyileşmek için 2-3 ay gerekir.
Total Diz Protezi Ameliyatı Sonrası Ne Beklemeliyim?
Total diz protezi yapılan hastaların çok büyük çoğunluğunda diz ağrılarında belirgin bir azalma, yürüme ve merdiven inip çıkma gibi günlük yaşam aktivitelerini yapmada belirgin bir iyileşme sağlanır.
|
•
|
Ağrıların belirgin olarak düzelmesi ve bağımsız sokağa çıkmanız, her hasta için farklı olmakla birlikte 4 ila 8 hafta arasındadır.
|
|
•
|
Total diz protezi sonrası koşma, sıçrama gerektiren sporlar ve ağır işlerin yapılması uygun değildir. Yürüyüş, golf, yüzme gibi zorlayıcı olmayan sporlar yapılabilir. Araba kullanmakta bir mahsur yoktur.
|
|
•
|
Cerrahiden önce bacağınızda var olan eğrilik ve şekil bozuklukları ameliyat sırasında düzeltilir, bu durum diz protezinin ömrünü uzatacaktır.
|
|
•
|
Dizde ortalama hareket açıklığı 115 derece civarındadır, bu nedenle diz protezi sonrası yere tam çömelmek veya namaz kılmak sıklıkla mümkün değildir.
|
|
•
|
Modern total diz protezlerinin çoğu MR uyumlu bir metal olan krom kobalt alaşımından imal edilir. Her ne kadar dizin yakın komşuluğundaki dokular görüntülenemese de, başka bir bölgenin MR’ının çekilmesinde bir sorun yaşanmaz.
|
|
•
|
Total diz protezini oluşturan metal ve plastik parçalar, hareket sırasında ortaya çıkan sürtünmeye bağlı olarak zaman içinde aşınır. Aşınma ile ortaya çıkan ve gözle görülmeyecek kadar küçük metal ve plastik parçalarına karşı vücudun cevabı ile diz protezinin parçaları tutunduğu kemikten ayrılıp gevşeyebilir. Uygun cerrahi teknik ve modern protez tasarımları kullanılarak yapılan diz protezlerinin ömrü günümüzde 20-25 yıla kadar uzamıştır. Gevşeyen diz protezleri, çoğu hastada ikinci bir ameliyat ile çıkartılıp yeniden protez yerleştirilebilir, ancak ikinci protezin ömrü, ilki kadar uzun değildir.
|
Diz Protezi Ameliyatının Komplikasyonları
|
•
|
Derin ven trombozu: En sık görülen sorun, bacaktaki kan akımının yavaşlamasına bağlı olarak toplardamarlarda pıhtı oluşmasıdır. Bunu önlemek için cerrahiden sonra kanı sulandıracak ilaçlarla koruyucu tedavi uygulanır. Ameliyat sonrasında erken dönemde diz hareketi ve yürüyüşlere başlamak ve hareketsiz kalmaktan kaçınmak, bu riski azaltacaktır.
|
|
•
|
Enfeksiyon: Total diz protezinden sonra, enfeksiyon yani protezin iltihaplanması %0.1 ile %2 arasında görülür. Vücudun başka bir yerinde enfeksiyon olması, şeker hastalığı ve başka kronik hastalıkların varlığı bu riski artırabilir. Ameliyat öncesinde vücudun başka bir yerinde olabilecek enfeksiyonların tedavisi gereklidir. Ameliyat sırasında koruyucu antibiyotik tedavisi yapılır ve cerrahi sırasında özel önlemler alınarak enfeksiyon riski azaltılır.
|
|
•
|
Diğer Komplikasyonlar: Yukarıda sayılanların dışında, yara iyileşmesi sorunları, damar veya sinir yaralanmaları, protezin bazı parçalarının yerinden çıkması, protez çevresi kırıklar, protezin kendisinde kırıklar gibi komplikasyonlar görülebilir.
|