Halk arasında kireçlenme olarak bilinen osteoartrit, “dejeneratif artrit” veya “dejeneratif eklem hastalığı” olarak da isimlendirilir. Burada esas hadise eklem kıkırdağındaki aşınmadır. Kıkırdak aşındıkça yük taşıma, hareketi kolaylaştırma gibi özellikler de kaybolur. Eklemi oluşturan kemiklerin uçları açığa çıkar ve kemik kemiğe temas etmeye başlar. Hareketler ağrılı hale gelir ve azalır. Bütün bunlar aylar ve hatta yıllar süren bir değişimdir. Osteoartritte eklemlerde kireç birikmesi söz konusu değildir.
![]() |
![]() |
| Normal ve artritik eklem kıkırdağının görünümü | |
![]() |
![]() |
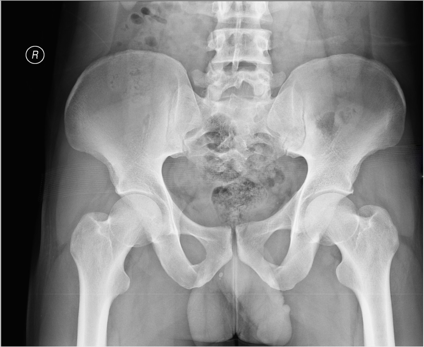
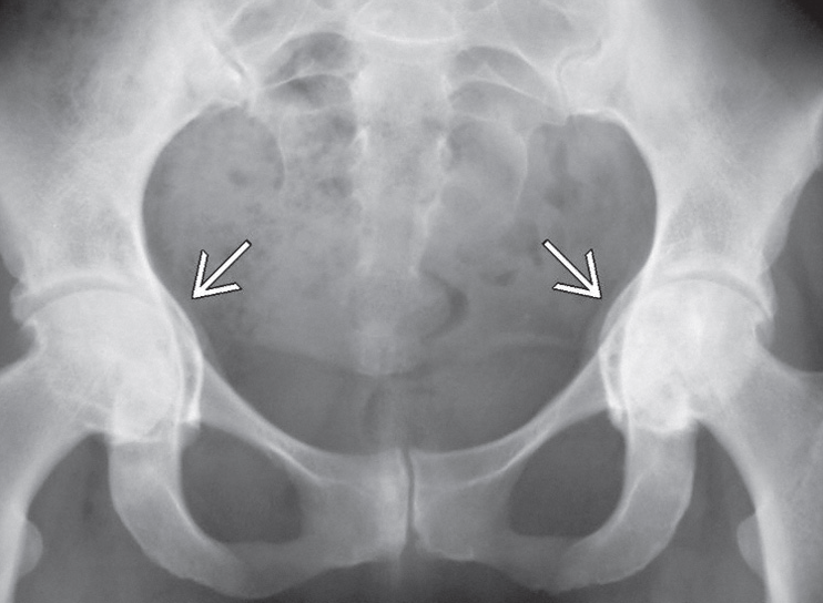
| Normal ve artrit gelişmiş hastalara ait kalça filmleri | |
Dejeneratif artrit en sık yük taşıyan eklemlerde görülür. Diz eklemi başta olmak üzere, kalça, el parmakları, ayak bileği ve omurga sık olarak tutulur.

El eklemlerinde artrit gelişimine bağlı şekil bozukluğu görülmekte.
Osteoartritte Risk Faktörleri
Osteoartrit için başlıca risk faktörleri şunlardır:
|
|
• |
Yaş: Artroz için en önemli risk faktörü yaştır. 50 yaş üzerindeki bazı insanlarda röntgende artroz bulguları görülmeye başlar. Ancak yaşlanma ile birlikte osteoartritin gelişmesi kaçınılmaz bir durum değildir.
|
|
| • |
Kadınlar: Kadınlarda osteoartrit gelişme ihtimali erkeklere göre üç misli daha fazladır. Bunu sebebi bilinmez, eklemlerinin daha küçük oluşundan veya hormonlardan etkileniyor olabilirler.
|
||
| • |
Şişmanlık: Kişinin aşırı kilolu olması onun özellikle diz, kalça ve ayak bileği eklemine fazla yük bindirir. Her 10 kiloluk artış, yapılan aktiviteye göre değişmek kaydıyla, eklemin 30-100 kilo daha fazla stres altında kalmasına neden olur. Özellikle diz ekleminde, şişmanlığın osteoartritin gelişiminde önemli bir etken olduğu gösterilmiştir.
|
||
| • |
Eklem yaralanması geçirenler: Trafik, iş veya ev kazası geçirenler ve yaptığı spor nedeniyle eklemleri yaralananlar risk altındadır. Eklemi ilgilendiren kırıklar, tedavi edilmemiş menisküs ve bağ yaralanmalarında artroz görülme riski fazladır.
|
||
| • |
Eklemlerinde tekrarlayan yüklenmeler olanlar: Bu risk, daha çok şahsın mesleğinden veya yaptığı spordan kaynaklanır. Aynı hareketlerin sürekli tekrarı eklemlere aşırı yük bindirebilir.
|
||
| • |
Anne ve babasında osteoartrit olanlar: Osteoartritin kalıtsal özelliği vardır. Bir çalışmaya göre osteoartritlerin oluşmasında genetiğin rolü %50’dir. Özellikle el parmaklarındaki osteoartritin genetik özelliği fazladır.
|
|
|
• |
Eklem yaralanmaları: Spor, iş, ev veya trafik kazası sonucu eklem yaralanırsa osteoartrit gelişme riski ve ihtimali artar.
|
| • |
Tekrarlayan yüklenmeler: Aynı hareketlerin ard arda, sürekli tekrar edilmesi eklem kıkırdağında yıkıma yol açabilir. Balerinlerde ayak bileği, futbolcularda diz eklemlerinde bu tip osteoartrit gelişebilir.
|
|
| • |
Kemik uçlarındaki hasarlar: Eklemi yapan kemik uçlarında kırığa veya streslere bağlı hasarlar oluşabilir. Bu durumda kemik uçları normal anatomik yapısını yitirir, düzgünlüğü ve uyumu bozulur. Sonuçta artrit gelişir.
|
|
| • |
Kemik hastalıkları: Paget gibi değişik hastalıklar kemiklerin dayanıklılığını azaltır; onları kolay kırılır hale getirir. Kemik uçlarındaki kırıklar şekil bozukluklarına ve sonuçta osteoartrite yol açar.
|
|
| • |
Eklemlerin aşırı yük taşıması: Vücut ne kadar ağırsa diz, kalça, ayak bileğine binen yük de o oranda fazla olur. Özellikle diz osteoartritlerinde şişmanlık önemli bir etken durumdur. Her adım atışta vücut ağırlığının üç misli yük dizlere biner; koşarken bu yük on misline kadar çıkar. Aşırı yüklenme sonuçta kıkırdaklarda yıpranmaya yol açar.
|
|
| • |
Eklemlerdeki gelişim bozuklukları: Özellikle kalça eklemindeki doğuştan kaynaklanan gelişim bozuklukları ve çıkıklar da osteoartrite neden olabilir.
|
Osteoartrit Bulguları
Osteoartritte aşağıdaki belirtilerden en az bir tanesinin olması gerekir:
|
|
• |
Eklem ağrısı: Osteoartritli insanların çoğunun ağrısı vardır. Bu ağrı kas ağrısından farklıdır, genellikle hava durumuna göre şiddeti değişir. Rutubetli ve yağışlı havalarda hastanın ağrısı artar. Keza eklem kullanıldığında, ağrı artar; dinlenmekle azalır. Hastalık ilerleyince ağrılar artar ve gece uykusunda bile hastayı rahatsız eder.
|
| • |
Eklemde şekil bozukluğu: Eklemlerde şişlik, kemik çıkıntılar ve şekil bozuklukları ortaya çıkar. Zaman içinde bacaklar içe doğru eğrilir.
|
|
| • |
Sertlik ve hareketlerde azalma: Eklemlerde sertlik ve hareketlerde kısıtlanma osteoartritin geç belirtisidir. Sonunda, eklem bükük durumda donup kalabilir.
|
|
| • |
Eklemde hassasiyet, ısı artımı ve şişlik: Şişlik osteoartritte çok önemli bir problem değildir. Bazı eklemler özellikle çok yüklenildiğinde kıkırdak hasarına cevap olarak inflamasyon geliştirir ve şişer. En çok da dizlerde ve el parmaklarında görülür.
|
|
| • |
Eklemde sürtünme sesi: Eklemlerin hareketi ile çıtırdamalar ve sürtünme sesleri duyulursa osteoartrit olma ihtimali çok yüksektir. Bu sesler aşınmış ve düzgünlüğünü kaybetmiş kıkırdakların sürtünme sesidir. Eklem içinde serbest gezen kıkırdak veya kemik parçalarına bağlı olarak eklemde takılma ve kilitlenme gibi belirtiler ortaya çıkabilir.
|
|
| • |
Parmaklarda kemik büyümesi: El parmaklarındaki eklemlerin kenarlarında oluşan çıkıntılar kemik büyümesidir. Osteoartritin belirtisidir ve ailevi özellik gösterir.
|
Osteoartritte Tanı
Artrozun tanısı oldukça kolaydır. Doktorunuz size bazı sorular sorduktan sonra muayene eder. Bu sırada, geçirilmiş olan kaza, yaralanma ve ameliyatlarınızı mutlaka doktorunuza bildirmeniz gerekir.
Osteoartritli hastaların çoğu kendisinde ne tip bir artrit olduğunu bilmez ve dolayısıyla tedavisi konusunda sağlıklı kararlar alamaz.
Muayenede doktor hastaya önce ağrı ile ilgili sorular sorar ve sonra muayene ederek bazı testler yapar. Muayene esnasında eklemdeki hassas olan noktalar belirlenmeye çalışılır. Eklem hareketlerinin ne kadar yapılabildiğine bakılır. Şişlik olup olmadığı ve hareketler sırasında eklemden ses gelip gelmediği kontrol edilir. Çoğu zaman basit bir röntgen ile tanı konabilir. Erken artroz durumlarında MRG yararlı olabilir. Artritin inflamatuvar (romatizmal) olduğundan şüphelenilirse bazı kan tetkikleri yapmak gerekebilir.
Osteoartrit Tedavisi
Osteoartritte eklemi normal haline getirecek bir tedavi yöntemi günümüzde yoktur. Hastalık yıllar içinde ilerler ve birden fazla eklem tutulabilir. Uygulanacak tedavinin amacı ağrının azaltılması ve eklem hareketlerinin artırılması olmalıdır. İyi bir tedavi planı aşağıdaki yöntemlerin birini veya birkaçını içerir.
Tıbbi Tedavi: Hastalığın erken dönemlerinde tıbbi tedavi ile hastalığın belirtileri kontrol altında tutulabilir.
|
|
• |
İlaç Tedavisi: Osteoartiritte sıklıkla iki tür ilaç kullanılır: Bunlar ağrı kesiciler ve anti-inflamatuvar ilaçlardır. Bu ilaçlar uzun süreli kullanımlarına mide ve böbrek fonksiyonlarınsa bozulmaya neden olabilir.
|
| • |
Viskosuplementasyon: Eklem içine hiyalüronik asit enjeksiyonu, hastanın şikayetlerinde bir süre rahatlama sağlayabilir.
|
|
| • |
Eklem İçine Steroid Enjeksiyonu: Çok şiş, ağrılı eklemlerde yararlıdır. Tekrarlayan enjeksiyonlardan kaçınılmalıdır.
|
|
| • |
Glukozamin ve Kondoitin Sülfat Kullanımı: Bu maddeler, eklem kıkırdağının yapı taşları olup uzun süreli kullanımlarının şikayetleri azalttığı belirtilmektedir.
|
|
| • |
Fizik Tedavi Yöntemleri: Ağrıya bağlı olarak uzun süreli hareketlerin sınırlandırılması klinik tabloyu daha da kötüleştirir. Kıkırdaklar için egzersiz, “yağlama ve besleme” rolü oynar. Eklemlerin sağlıklı olması için esneklik, güçlendirme ve dayanıklılık egzersizleri yapılmalıdır.
|
Cerrahi Tedavi: Hasta tıbbi tedavi yöntemlerinden yararlanmazsa cerrahi tedavi gündeme gelir. Cerrahi tedavi seçenekleri şunlardır:
|
|
• |
Artroskopik Temizleme: Eklem içine fiber optik video kameraya sahip artroskop adı verilen bir cihazla girilerek tanı ve tedavinin gerçekleştirilmesidir. Hızlı bir ameliyat olan bu yöntemde iyileşme süresi de kısadır. Bununla birlikte, çalışmalar osteoartritte artroskopik diz cerrahisinin sınırlı alanlarda kullanıldığını göstermektedir. Hastalığın erken dönemlerinde kullanılabilir. İleri derecede hasarlı eklemlerde faydasızdır.
|

|
|
• |
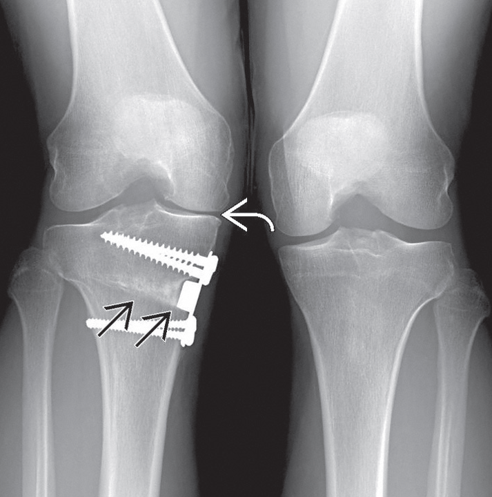
Kemik Düzeltici Ameliyatlar: Amaç, eklemin aşınmış bölgesine binen aşırı yükü ortadan kaldırıp, yükü sağlam tarafa aktarmaktır. Bunun için kemik kesilerek düzeltilir ve uygun açıya getirilerek tespit edilir. Genç hastalarda protez için zaman kazanmak amacıyla tercih edilir.
|

Sağ dizine kemik düzeltme ameliyatı yapılmış hastanın röntgen filmi
|
|
• |
Eklemlerin Dondurulması (Artrodez): Hareket kaybının çok önemli olmadığı bazı eklemlerde (örneğin ayak bileği ve elin küçük eklemleri) uygulanır. Aşınmış olan eklem yüzleri çıkartılır ve iki kemiğin birbirine kaynaması sağlanır. Ağrı tamamen geçer ancak eklemde hareket olmaz.
|

|
|
• |
Eklem Protezleri: Artrozun günümüzde bilinen en etkili tedavisidir. Kemiğin aşınmış yüzlerinin çıkarılarak metal, plastik veya seramik parçalar kullanarak kaplanmasıdır. Protez ameliyatı genellikle ağrıyı önemli ölçüde azaltır ve yaşam kalitesini artırır. En sık diz, kalça ve omuz eklemlerinde uygulanır (Diz, kalça ve omuz eklemi protezleri konularına bakınız). Bununla birlikte, yapay eklemler zamanla yıpranacaktır ve yaklaşık 20 yıl içinde başka bir değiştirme yapmak gerekebilir.
|
![]() |
![]() |
A. Diz ve B. Kalça değiştirme ameliyatlarında kullanılan protez parçaları
| 1. |
Yardımcı Cihaz Kullanımı: Osteoartritte eklemlere binen yük önemlidir. Otururken, kalkarken, yürürken, bir şeyler taşırken bu gerçek unutulmamalıdır. Eklemlere yardımcı olması amacıyla dizlik, bileklik gibi elastik koruyucular kullanılabilir. Kalça ve dizlerde artrit varsa baston veya koltuk değneği kullanmak bu eklemlere daha az yük binmesini sağlar.
|
|
| 2. |
Sıcak ve Soğuk Uygulama: Sıcak yastıkçıklar, değişik ısıtıcılar, elektrikli battaniyeler ağrılı kasları gevşetip rahatlatır. İnflamasyonun varlığında ise soğuk uygulamalar faydalıdır. Dokularda sıcak ve soğuk nedeniyle hasar oluşmaması için, uygulamaların süresi 30 dakikayı geçmemelidir. Gerekirse, 5 dakika kadar beklenip, tedavi tekrar edilebilir.
|
|
| 3. |
Kilo Verme: Hastalığın ilerleme hızını etkileyen en önemli faktördür. Şişman kişilerde kilo verme ile hem hastalığın belirtileri hafifler hem de ilerlemesi yavaşlar.
|
|
| 4. |
Uygun Egzersiz: Egzersiz yapmak, kireçlenme yaşayan kişiler için en önemli tedavilerden biridir. Fiziksel olarak aktif kalmak kasları güçlendirir ve kireçlenme kaynaklı ağrıların azalmasına yardımcı olur. Ayrıca egzersiz yapmak kireçlenmeye karşı korunmayı da sağlar. Yüzme veya yürüyüş en çok tercih edilen yöntemlerdir.
|
|
| 5. |
Yaşam Stili Değişimleri: Artrozlu eklemi aşırı zorlamak yakınmaları artıracağından koşma, sıçrama gibi sporlar bırakılmalı, çömelme, merdiven inip çıkma gibi aktiviteler azaltılmalı ve 2 kg’ın üzerinde yük taşımaktan kaçınılmalıdır.
|
Tüm bunlara ek olarak eklem yaralanmaları uygun şekilde tedavi edilmeli, osteoporoz gelişimine karşı gerekli önlemler alınmalı ve tekrarlayıcı zorlamalardan kaçınılmalıdır.




.png)
.jpg)