Ortopedi Nedir?
Ortopedi hareket sistemini oluşturan kemik, eklem, kas, kiriş, bağ, sinir ve cilt hastalıklarının ve yaralanmalarının teşhisi ve tedavisi üzerine çalışmalar yapan uzmanlık dallarından biridir.
Ortopedinin kelime anlamı “düzgün çocuk” tur. Eski Yunancada yer alan orthos (düzgün, düzeltilmiş) ve paedia (çocuk) kelimelerinin birleşimi ile oluşmuştur. İlk olarak, Nicolas Andrea 1741’de L’Orthopedie isimli kitabında ortopedi sözcüğünü kullanmıştır. Ülkemizde ve birçok batı ülkesinde ortopedi ve çocuk cerrahisi birlikte kurulmuştur. İlerleyen zamanlarda Ortopedi ve Travmatoloji ile Çocuk Cerrahisi olmak üzere iki ayrı anabilim dalına ayrılmıştır.
Ortopedinin İlgi Alanı
Ortopedi tarafından tedavi edilen hastalıklar sonradan oluşan travma ve yaralanmalar olabileceği gibi, doğuştan da gelişebilmektedir. Ortopedinin ilgi alanı içindeki başlıca problemler şunlardır:
• Kas, tendon ve bağlardaki yaralanmalar
• Sırt ve belde ağrı ve şekil bozukluğu yapan durumlar
• Diz, bacak ve ayaklardaki şekil bozuklukları ve ağrılı durumlar
• Artritler
• Osteoporoz
• Kemik tümörleri ve iltihapları
• Çarpık ayak, bacaklardaki uzunluk farkları
• Elde ve parmaklarda ağrı ve fonksiyon kaybı yapan sebepler
• Kas iskelet sisteminin doğumsal anomalileri
Ortopedik Hastalıklarda Teşhis Yöntemleri
Fizik Muayene
Doktorunuz, hastalığınızı tam olarak teşhis edebilmek için önce sizi dinler ve şikâyetlerinizi öğrenir. Bu şikâyetlerinizin özelliklerini anlamaya çalışır. Geçirdiğiniz hastalıkları, ameliyatları sorar ve kaydeder. Daha sonra fizik muayene yapar.
Fizik muayene sizi gözleyerek başlar. Kollarınızda, bacaklarınızda zayıflık, şekil bozuklukları, şişlikler, ciltte renk değişiklikleri olup olmadığına bakılır. Yürümeniz değerlendirilir. Sonra palpasyon dediğimiz elle muayene ile eklem hareketleri ölçülür, kas güçleri belirlernir. Palpasyon ile kitle ve kist gibi oluşumların varlığı da tespit edilir.
.jpeg)
kontrol edilir, kas güçleri değerlendirilir. Ayrıca kitle ve kist gibi oluşumlar tespit edilir.
Laboratuvar Testleri
Muayene olduktan sonra, doktorunuz sizden kan ve idrar tetkikleri isteyebilir. Kan örnekleri alınmadan önce aç kalmanız istenebilir. Kan örneklerinde çeşitli kimyasal maddelerin serum düzeylerine bakılır. Mesela, ürik asit düzeyinin yüksek olması gut hastalığına işarettir. Beyaz kürelerde artma vücutta bir iltihap olduğu şüphesi yaratır. Şeker hastalığında kan şekeri düzeyi yüksek çıkar. Karaciğer ve böbrek hastalıklarında kan biyokimyası değişir.
Ameliyattan önce tıbbi durumunuzu belirlemek için de laboratuvar tetkikleri yapılır.
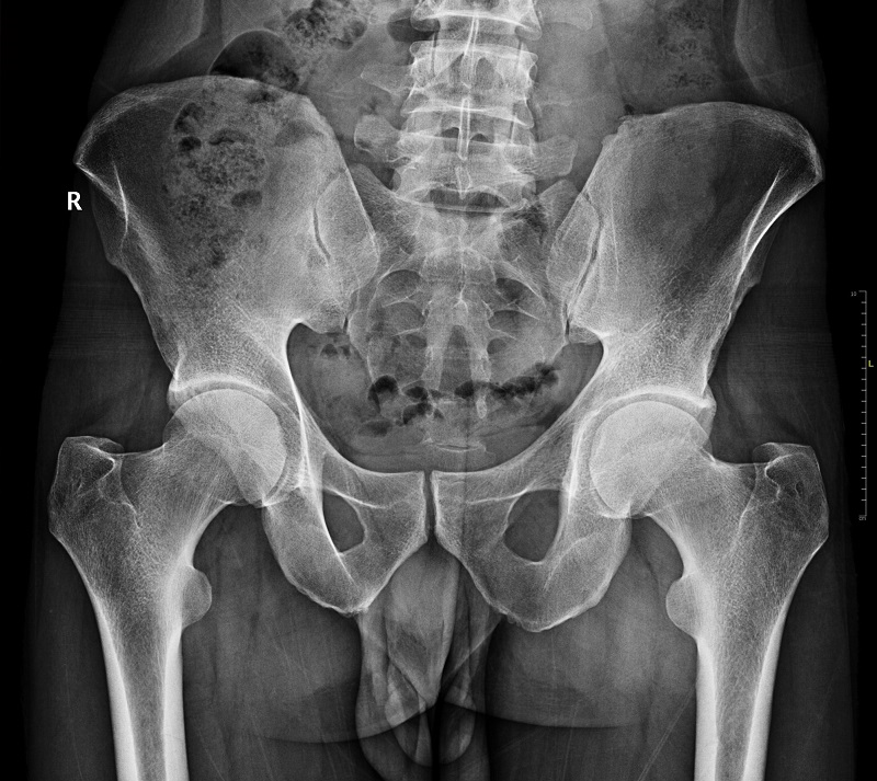
Radyografi
Direkt radyografi iskelet sistemine ait patolojik değişikliklerin tanımlanması ve tedavi takibinde en çok kullanılan temel tanı yöntemidir İskelet sisteminde direkt grafi kırıkların değerlendirilmesi, yapısal (skolyoz gibi) ve doğumsal değişiklikler, ortopedik implantların değerlendirilmesi, kemik iltihapları, eklemlerin dejeneratif ve iltihabi hastalıkları, kemik tümörleri ve metabolik kemik hastalıklarının tanısında kullanılır.

Radyografi iskelet sistemine ait patolojik değişikliklerin tanısında en çok kullanılan temel tanı yöntemidir.
Manyetik Rezonans Görüntüleme (MRG)
MR, vücudun çeşitli bölgelerini manyetik alan ve bilgisayar kullanarak görüntüleyen bir sistemdir. Kemik ve yumuşak dokular farklı kesitler halinde, net bir şekilde görülebilir. Kas iskelet sistemi travmalarında; skafoid kemik başta olmak üzere bazı kemiklerin gizli kırıklarında, kemik avasküler nekrozlarında, başka yöntemlerle tanımlanamayan kemik kontüzyonlarının tanısında, bağ, tendon ve kas yapılarındaki hasarlanmaların belirlenmesinde, eklem kıkırdağının görüntülenmesinde MRG yaygın olarak kullanılmaktadır.

Manyetik rezonans görüntülemede kemik ve yumuşak dokular farklı kesitler halinde incelenir.
Bilgisayarlı Tomografi (BT)
Bilgisayarlı tomografi (BT), röntgen ve bilgisayar sistemlerinden oluşur. Vücudumuzun çeşitli bölgelerinin görüntülerini kesitler halinde verir. Çekim ağrısızdır. Bir röntgen tüpü hastanın etrafında döner ve farklı açılardan görüntüler oluşturur. Bir bilgisayar aracılığı ile bu görüntüler ekrana yansıtılır ve film haline getiriler. Daha net görüntüler elde etmek için, hastaya radyopak maddeler içirilebilir veya enjekte edilebilir.

Bilgisayarlı tomografi vücudun çeşitli bölgelerinin görüntülerini kesitler halinde verir.
• Yer değiştirmiş kemik fragmanlarının tanınması
• Kemik defektlerinin tespiti
• Omuz çıkıklarının ayrıntılı tanımı
• Karmaşık anatomik yapıların değerlendirilmesi
• Ekstremite travmalarında eşlik eden damar yaralanmalarının tespiti
• Kemik tümörlerinde patolojik kırık olasılığının belirlenmesi
• Kas iskelet sistemi lezyonlarının biyopsi ya da aspirasyonu
• Kemik mineral yoğunluğu ölçümü yapılabilmektedir.
Pozitron Emisyon Tomografi–Bilgisayarlı Tomografi (PET-BT)
PET-BT çekimi öncesinde radyoaktif madde damar yoluyla enjekte edilerek sistemik dağılımı beklenir, ardından bu maddenin dokunun metabolik aktivitesine göre vücuttaki birikimi ölçümlenir. Elde edilen bilgiler üç boyutlu halde görüntülenir. Hibrit görüntülenme tekniği kullanılarak bu bilgi BT ile birleştirdiğinde elde olunan görüntüler ile tümör hücrelerinin iyi ya da kötü ayrımında, tümörün kemoterapiye yanıtını değerlendirmede ve metastatik odak araştırılmasında bilgi elde olunur.

PET-BT ile damar yoluyla verilen radyoaktif maddenin dokuların metabolik
aktivitesine göre vücuttaki birikimi ölçümlenir.
Bu test kemik yoğunluğunu ölçmek ve osteoporoz teşhisi koymak için yapılmaktadır. Testin yapılmasında en sık kullanılan alet, “Dual-Energy X-ray Absorptiometry” (DEXA) adını taşımaktadır. Bu test için herhangi bir ön hazırlık gerekmez; herhangi bir yan etkisi yoktur.
Kemik Sintigrafisi
Sintigrafi, nükleer tıpta uygulanan tanısal bir görüntüleme yöntemidir. Onkolojik, enfeksiyöz ve metabolik iskelet hastalıklarında sıklıkla başvurulan bir görüntüleme yöntemidir. Sintigrafide vücuda düşük düzeyde radyoaktif madde ve bunlara bağlanan kimyasal ilaçlar (radyofarmasötikler) verilerek organ ve dokuların görüntülenmesi sağlanır. Hemen her organ sistemiyle ilgili fonksiyon görüntülemesi sağlayan sintigrafik taramalar, genel olarak ağrısız, invaziv olmayan, yan etki ve alerji riski düşük, güvenilir tetkiklerdir. Hastalıkların erken tanısında ve tedaviye verdikleri yanıtın değerlendirilmesinde kullanılır.

Sintigrafide vücuda düşük düzeyde radyoaktif madde verilerek organ ve dokuların görüntülenmesi sağlanır.
• Osteoid osteoma, diğer primer iskelet tümörleri ve yumuşak doku sarkomlarının tanısında
• Radyografik olarak tespit edilemeyen stres ve yetmezlik kırıklarının tespitinde
• Kalça protezlerinin gevşeme ya da enfeksiyon gibi komplikasyonlarında
• Avasküler nekrozda
• Osteomiyelit tanısında
• Paget hastalığı ve diğer metabolik hastalıkların tanı ve takibinde
Ultrasonografi
Ultrasonografi vücuda gönderilen ve vücuttan dokuların anatomik yapısına göre farklı yansıyan yüksek frekanslı ses dalgalarının görüntüye dönüştüğü bir sistemdir. Doppler ultrasonografi (Doppler US) ise dokudaki artan damarlanma ve perfüzyonu kalitatif ve kantitatif olarak belirler.

USG kas, tendon ve bağ yaralanmalarının tanısında, yumuşak doku
kitlelerinin tespitinde ve biyopsi uygulamalarında kullanılır.
• Kas yaralanmaları
• Bağ yaralanmaları
• Yumuşak doku kitleleri
• Yabancı cisim yaralanmaları
• Çocuk kalça eklemi (gelişimsel kalça displazisi tanı ve tedavi izlemi, aksayan çocukta kalçada eklem içi sıvı değerlendirilmesi)
• Çocuk hastada tortikolis değerlendirilmesi
• US rehberliğinde drenaj, tedavi ve biyopsi uygulamaları yapılabilir.
Elektromiyografi (EMG)
Elektromiyografi (EMG) kaslarınızın elektriksel aktivitelerini ölçer ve analiz eder. Bacak ve kollarınızdaki kaslarınıza gelen sinirlerin ne kadar fonksiyon gördüğünü belirler. EMG çekilirken küçük, ince iğneler kaslara batırılır ve bu şekilde elektrik aktiviteleri ölçülür. İğneler batırıldığında biraz acı ve rahatsızlık olur. Kaslar tarafından oluşturulan elektriksel aktiviteler televizyona benzer bir ekrana yansıtılır. Herhangi bir yan etkisi yoktur. Kan sulandırıcı ilaçlar alıyorsanız, akciğer hastalığınız ve enfeksiyon riskiniz varsa, testi yapan doktora söylemelisiniz. Test yapılacak bölgelere 24 saat süre ile jel, krem sürmeyiniz ve mücevher takmayınız. Test sonucunu hemen almak mümkündür.
Sinir İletim Hızı Ölçümleri
Sinir iletim hızı ölçümleri genellikle EMG ile birlikte yapılır. Kol ve bacaklardaki sinirlerin durumları, fonksiyonları belirlenir. Normalde, elektrik sinyali saate 200 km hızla ilerler. Eğer sinir hasar görmüşse bu hız yavaşlar ve zayıflar. Farklı noktalardan uyarılarak, hasarın nerde olduğu tespit edilir. Sinir tamirlerinin tedavisinin takibinde de bu test kullanılır.
Venografi
Derin toplardamarlarda (venlerde) bir tıkanıklık (trombozis) olup olmadığını anlamak için venografi yapılır. Venler kan pıhtısı ile tıkanabilir. Bu durum oldukça ciddidir; çükü bu pıhtı serbest hale gelip, damar yolu ile akciğere gelir ve pulmoner emboli denilen öldürücü bir klinik tablo oluşturur.
Bu testte, siz röntgen masasında yatarken, bacağınıza kontrast bir madde enjekte edilir. Bu kontrast maddenin verdiği görüntü sayesinde, pıhtının yerleştiği kısım belirlenir. Bu test yaklaşık bir saat sürer.
Testten 4 saat öncesinden itibaren aç kalmanız istenir. Testten sonra bol miktarda sıvı içmeniz önerilir. Bu şekilde verilen kontrast maddeyi idrar ile atarsınız. Bu testin teşhis ettirici özelliği çok fazladır ama invaziv, ağrılı ve pahalı bir yöntemdir. Bu nedenle doktorunuz bu testi yapmadan önce daha az invaziv bazı testlerle durumunuzu belirlemeye çalışabilir.