Omuz vücudumuzda en geniş hareket yeteneğine sahip olan eklemdir. Karmaşık bir karaktere sahip olan omuz ekleminin hareketleri omuz kavşağı olarak adlandırılan dört eklemin birlikte hareketi sonucu oluşur. Köprücük ve kürek kemikleri ile humerus adını alan kol kemiği omuz ekleminin kemik iskeletini yaparlar.
Hareketi kısıtlı ve ağrılı bir omuz yüzünden giyinmek ve bir şey taşımak gibi en basit işleri bile yapmak güçleşebilir. İlaçlar ve aktivite değişiklikleri gibi cerrahi olmayan tedaviler ağrıyı hafifletmeye yardımcı olmuyorsa omuz eklemi protezi ameliyatı planlanabilir. Omuz protezi ameliyatı, omuz ekleminde kireçlenmesi olan hastalarda ağrıyı geçirmek, eklemdeki hareketliliği yeniden sağlamak, gücünü ve işlevini geri kazandırmak için yapılan bir ameliyattır.
Omuz Ekleminin Yapısı ve Özellikleri
Omuz iskeleti üç kemikten oluşur: Üst kol kemiği (humerus), kürek kemiği (skapula) ve köprücük kemiği (klavikula). Omuz eklemi kalça eklemine benzer şekilde bilye ve yuvası şeklinde bir eklem olup vücudun en esnek eklemidir. Humerus (üst kol kemiği) üst ucundaki baş kısmı ile skapulanın (kürek kemiği) glenoid denilen yuva kısmı arasındaki oluşan bir eklemdir. Kaslar ve diğer yumuşak dokular da kemik başını yuvanın içinde tutar.

Kemiklerin temas ettiği yüzeyler, kemikleri koruyan ve kolay hareket etmelerini sağlayan pürüzsüz bir madde olan eklem kıkırdağıyla kaplıdır. Sağlıklı bir omuz ekleminde sürtünmeyi azaltan ve kıkırdağı yağlayan az miktarda sıvı üretilir.
Omuzda Artrit Gelişiminin Sebepleri
Osteoartrit, yaşa bağlı aşınma ve yıpranma sonucu oluşur. Genellikle 50 yaş ve üzeri kişilerde görülür, ancak genç insanlarda da ortaya çıkabilir. Zamanla eklem yüzlerini örten kıkırdak yumuşar ve aşınır. Daha sonra kemikler birbirine sürtünür. Zamanla omuz eklemi yavaş yavaş sertleşir ve ağrı başlar. Osteoartrit gelişimini önlemenin bir yolu yoktur ve osteoartrit omuz protezi ameliyatının yaygın bir nedenidir.
Omuz eklemi artriti primer ve sekonder olmak üzere iki başlık altında incelenebilir.
Primer Omuz Artriti: Belli bir sebep olmaksızın gelişen osteoartrit tipidir. Genellikle alta yatan bir sebep yoktur. Omuz ekleminde görülen klasik artrittir ve eklemi örten kıkırdakta ilerleyici bozulma mevcuttur. Diz ve kalça eklemlerindeki kadar sık görülmemekle birlikte ciddi fonksiyonel kayıp ile sonuçlanabilir.
Sekonder Omuz Artriti: Primer artritten farklı olarak eklem kıkırdak aşınması belirli bir sebebe bağlıdır. Bu tip artritin önemli bir özelliği de primer artrite göre daha genç hastalarda da görülebilmesidir.
Sekonder osteoartrit sebepleri şunlardır:
• İnstabilite
• İnflamatuvar hastalıklar
• Geçirilmiş travmalar
• Ciddi kırıklar
• Avasküler nekroz
• Kıkırdak yıkımı
• Displazi
• Nörolojik problemler
• Donuk omuz
Ne Zaman Omuz Protezi Yapılır?
Omuz protezine kara vermek için
• Şikayetlerin başlangıç yaşı (erken, geç)
• Daha önce aldığı tedaviler (tıbbi, cerrahi veya fizik tedavi)
• Travma
• Geçirilmiş cerrahi
• Hastanın ana şikayeti (ağrı, hareket kısıtlılığı, sertlik)
• Hareket sırasında ağrı ve gece ağrısı
• Hastanın mesleği, yaşam tarzı ve aktivite durumu
• Hastanın beklentileri dikkate alınmalıdır.
Omuz protezi hangi durumlarda yapılır?
Omuz protezi ameliyatı,
• Dinlenirken şiddetli ağrı
• Hastayı uykudan uyandıran omuz ağrısı
• Hareketleri kısıtlılığı veya kaybı
• İhmal edilmiş rotator manşet yırtığı
• Antiinflamatuar ilaçlar, kortizon enjeksiyonları ve/veya fizik tedavi gibi diğer tedavi yöntemlerinden fayda görmeyen hastalarda uygulanır.

Omuz eklemindeki kireçlenmeyi teşhis etmek için hastanın şikayeti ve hikayesi dinlenmeli, ayrıntılı olarak muayene edilmelidir.
|
•
|
Röntgen filmi çoğu zaman omuzdaki hasarı belirlemek için yeterlidir. Kemikler arasındaki normal eklem boşluğunun kaybı, kemiğin şeklinde düzleşme veya düzensizlik, kemik mahmuzları ve eklem içinde yüzen gevşek kıkırdak veya kemik parçaları röntgen ile tespit edilebilir.
|

Artroz gelişmiş omzun ön-arka grafisi
|
•
|
Hastanın kemik bütünlüğünü değerlendirmek için bilgisayarlı tomografi, omuz eklemindeki eklem kapsülü, kas ve bağların durumunu değerlendirmek için manyetik rezonans görüntüleme yapılabilir.
|
| • |
Sinir hasarı olabileceğinden şüphelenilen durumlarda EMG testi veya sinir iletim tetkikleri de istenebilir.
|
| • |
İnflamatuvar değişikliklerin belirlenmesi için kan testleri istenebilir.
|
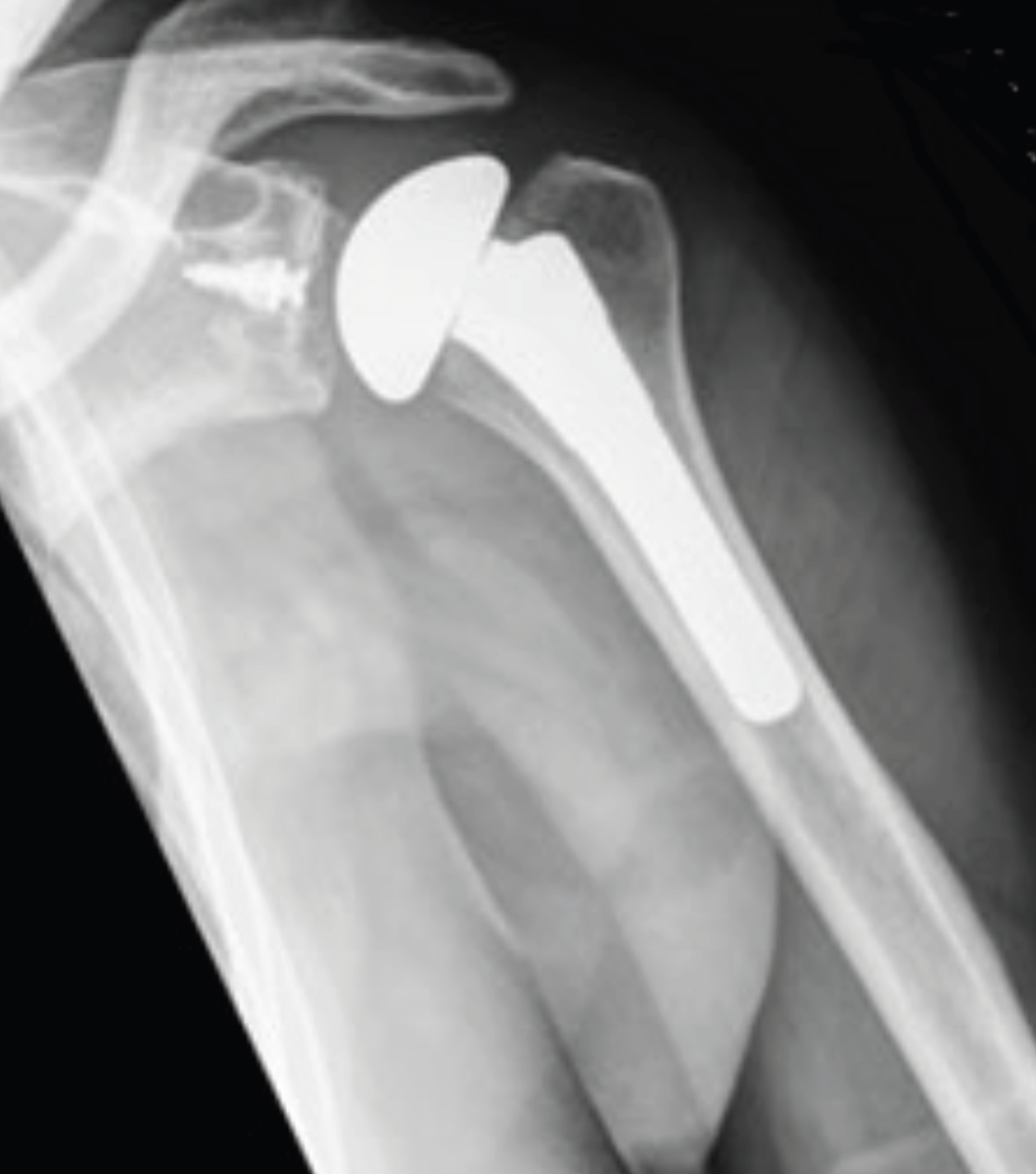
Omuz Protezi Çeşitleri
Omuz protezlerinin 4 tipi vardır:
|
•
|
Yüzey Yenileme Artroplastisi: Yüzey yenileme hemiartroplastisi, humerus başının sadece eklem yüzeyinin sapsız, başlık benzeri bir protezle değiştirilmesini içerir. Kemik koruyucu avantajıyla omuz artriti olanlara standart saplı omuz protezine alternatif sunar. Glenoid hala sağlam bir kıkırdak yüzeyine sahipse, humerus boynunda veya başında yeni bir kırık yoksa ve omuz kemiğinin korunması gerekiyorsa bu ameliyat yapılır.
|

Yüzey artroplastisi. Burada sadece humerus başının eklem yüzü değiştirilir.
Genç veya çok aktif hastalarda total omuz protezlerinde meydana gelebilecek aşınma ve gevşeme risklerini ortadan kaldırır. Daha konservatif doğası nedeniyle, daha sonra gerekirse total omuz replasmanına dönüştürülmesi daha kolay olabilir. Dikkat edilecek husus, eklem uyumunun implant konulduktan sonra da devam ettirilmesidir.
|
•
|
Kısmi Omuz Protezi: Yuvanın (glenoid) sağlam olduğu kol kemiğinin başı veya yumuşak dokunun hasarlı olduğu durumlarda yapılır. Yani bu protez tipinde omuz ekleminin yarısı değiştirilir. Glenoid denilen eklem yuvasına protez parçası yerleştirilmez. Kısmi omuz protezi daha çok parçalı humerus üst uç kırıklarının tedavisinde tercih edilir. Ayrıca glenoidde ciddi şekilde kemik zayıflığı olanlarda ve ciddi derecede yırtık rotator manşet tendonları ve artriti olan bazı omuzlarda kısmi omuz protezi ameliyatı yapılır.
|

Kısmi omuz protezi. Burada humerus başı total olarak değiştirilir.
|
•
|
Total Omuz Protezi: Humeral ve glenoid eklem kıkırdaklarının aşınması ile sonuçlanmış ileri evre artriti olan olgularda tercih edilebilecek bir yöntemdir. Amaç eklem hareket açıklığı ve kuvvetin restore edilmesidir. Kemik-kemik osteoartriti ve sağlam rotator manşet tendonları olan hastalar genellikle geleneksel total omuz replasmanı için iyi adaylardır. Ameliyat için ön koşul rotator manşetin sağlam olmasıdır. Standart total omuz değişimi, artritik eklem yüzeylerinin, bir gövdeye tutturulmuş metal bir top ve plastik bir soket ile değiştirilmesini içerir.
|

|
•
|
Ters Omuz Protezi: Standart bir total omuz protezinin omuz eklemi etrafındaki kasların ve tendonların sağlam olması durumunda uygulanmasına karşılık, ters omuz protezi rotator manşetin yırtıldığı veya arızalandığı durumlar için tasarlanmıştır. Standart bir total omuz protezi ameliyatında metal baş kol kemiğinin üst kısmına, plastik soket ise kürek kemiğine bağlanır. Ters omuz protezinde ise, baş eklemin yuva tarafına yerleştirilir. Bu, doğada bulunduğu yerin tam tersidir. Soket daha sonra kol kemiğindeki (humerus) metal bir sap tarafından desteklenecek şekilde kol tarafına yerleştirilir.
|

Ters omuz protezi. Rotator manşetin tam olarak yırtıldığı ve işlevini yerine getiremediği durumlarda yapılır.
|
•
|
Rotator manşet yırtığı artropatisi: Ters protezi düşünmenin en yaygın nedeni, omuz ekleminde artrit olması ve rotator manşet tendonlarının yırtılmış olmasıdır. Ters protez, ağrıyı önemli ölçüde azaltabilir ve omuzdaki hareket açıklığının bir kısmını eski haline getirebilir.
|
| • |
Rotator manşet yırtıkları: Rotator manşet tendonlarının tamamı yırtılmışsa ve kişi kolunu işlevini yerine getirecek kadar yukarı kaldıramıyorsa, ters protez hareket ve fonksiyonun yeniden kazanılmasına yardımcı olabilir.
|
| • |
Total omuz protezi revizyonu: Total omuz protezli hastalarda ağrı ve hareket kaybı varsa ters total omuz protezi yapılabilir.
|
| • |
Omuz kırıkları: Yaşlı hastalarda omuz bölgesindeki bazı çok parçalı kırıklar için ters proteze ihtiyacı olabilir.
|
| • |
Proksimal humerus tümörleri: Proksimal humerusta, kemiğin gövdesindeki kemiği veya humerusun topuzunu tutan bir tümör nedeniyle ters protez gerekli olabilir.
|
| • |
Romatoid artrit: Diğer tedavi seçeneklerinin tükendiği romatizmal hastalıklarda da ters omuz protezi yapılabilir.
|
Komplikasyonlar
|
•
|
Enfeksiyon.
|
| • |
Protez sorunları (Yıpranma, aşınma, protez çıkığı)
|
| • |
Sinir hasarı
|
| • |
Damar yaralanması
|
| • |
Omuz kemiklerinden birinin kırılması
|
Ameliyat Süreci
Ameliyat Öncesi Tıbbi Değerlendirme
|
•
|
Doktorunuz tarafından ayrıntılı bir fizik muayeneniz yapılır ve gerekirse kronik ve ek rahatsızlıklar için ilgili branşlardan konsültasyon istenir.
|
| • |
Kullandığınız ilaçları veya reçetesini yanınızda getiriniz. Aspirin, Brufen ve Diklofenak gibi nonsteroid antiinflamatuvar ilaçlar ameliyattan 2 hafta önce kesilir. Kan sulandırıcı ilaçların ameliyat öncesi kullanımı ya da kesilmesi anestezi ve kardiyoloji konsültasyonları sonucunda belirlenir.
|
| • |
Ameliyatınız için hastaneye gittiğinizde bol kıyafetler ve önü düğmeli gömlek giyiniz. Ameliyattan sonra omuz kol askısı ya da bir bandaj takacaksınız ve kolunuzu sınırlı kullanabileceksiniz.
|
| • |
Ameliyattan önceki gece yarısından sonra bir şey yiyip içmeyiniz.
|
|
•
|
Büyük olasılıkla genel anestezi alacaksınız. Bu ameliyat boyunca uyumanızı sağlayacaktır. Ayrıca omzunuzdaki ve kolunuzdaki sinirleri bloke eden bir enjeksiyon da yapılabilir.
|
| • |
Ameliyatınız genellikle yaklaşık 2 saat sürer.
|
| • |
Çoğu hasta ameliyattan sonraki gün katı yiyecekler yiyebilir ve yataktan kalkabilir. Büyük olasılıkla ameliyattan sonraki ikinci veya üçüncü günde taburcu olabileceksiniz.
|
| • |
Ameliyat sonrasında bir miktar ağrı hissedeceksiniz. Ancak ağrı kesici ilaçlar (ağızdan veya damar yoluyla) gerektiğinde yardımcı olabilir.
|
| • |
Ameliyat sonrasında bir miktar ağrı hissedeceksiniz. Ancak ağrı kesici ilaçlar (ağızdan veya damar yoluyla) gerektiğinde yardımcı olabilir.
|
| • |
Omzunuza buz uygulanacaktır. Buzu omzunuzda tutmak için bir cihaz kullanabilirsiniz.
|
|
•
|
Ameliyattan önce evinizde yapacağınız basit değişiklikler takılma ve düşme gibi kaza riskini azaltacak, sık kullandığınız eşyaları kolay ulaşabileceğiniz yerlere yerleştirmeniz yaşamınızı kolaylaştıracaktır.
|
| • |
Taburcu olduktan sonra birkaç hafta boyunca giyinme, banyo yapma, yemek pişirme ve çamaşır yıkama gibi bazı günlük işlerde yardıma ihtiyacınız olacaktır.
|
| • |
Cerrahınızın tercihine bağlı olarak, ameliyattan sonraki ilk 2 ila 6 hafta boyunca omzunuzu desteklemek ve korumak için askıya ihtiyacınız olacaktır. Ameliyattan sonra askı kullanmak omzunuzu koruyacaktır.
|
| • |
Yaranız boyunca stapler tel dikişler olacaktır. Tel dikişler ameliyattan 15 gün sonra alınır. Cildinizin altında eriyen dikişlerin alınması gerekmez.
|
| • |
Yara tamamen iyileşinceye kadar suyla temasından kaçınınız. Giysilerin tahriş etmesini önlemek için yarayı bandajlamaya devam edebilirsiniz.
|
|
•
|
Dikkatli ve iyi planlanmış bir rehabilitasyon programı, omuz protezinin başarısı için kritik öneme sahiptir. Genellikle ameliyattan hemen sonra hafif fizik tedaviye başlayabilirsiniz. Cerrahınız omzunuzu güçlendirmek ve esnekliği artırmak için size evde bir egzersiz programı verecektir.
|
| • |
Egzersiz, özellikle ameliyattan sonraki ilk birkaç hafta boyunca evde bakımın kritik bir bileşenidir. Gücünüzü yeniden kazanmanıza yardımcı olması için cerrahınızın ev egzersiz planını takip ediniz. Çoğu hasta ameliyattan sonraki 2 hafta içinde yemek yeme, giyinme ve kişisel bakım gibi basit aktiviteleri gerçekleştirebilir. Ameliyattan sonraki birkaç hafta boyunca aktivite sırasında ve geceleri bir miktar ağrı olabilir.
|
| • |
Ameliyattan sonra 2 ila 6 hafta boyunca araba kullanmanıza izin verilmez.
|
|
•
|
Yatakta veya sandalyeden kendinizi yukarı itmek için kolunuzu kullanmayınız, çünkü bu kasların güçlü bir şekilde kasılmasını gerektirir.
|
| • |
Sizin için belirlenen ev egzersizleri programını takip ediniz. Egzersizleri bir ay veya daha uzun süre günde 2 ila 3 kez yapmanız gerekebilir.
|
| • |
Aşırıya kaçmayınız. Omuzun erken aşırı kullanımı, harekette ciddi kısıtlamalara neden olabilir.
|
| • |
Ameliyattan sonraki ilk 2 ila 4 hafta boyunca bir bardak sudan daha ağır bir şey kaldırmayınız.
|
| • |
Omuz değişiminden sonra temas sporlarına katılmayınız veya tekrarlayan ağır kaldırma yapmayınız.
|
| • |
Ameliyattan sonraki ilk 6 hafta boyunca kolunuzu vücudunuzun yanına veya arkasına doğru uzatmak gibi aşırı pozisyonlardan kaçınınız.
|