Kıkırdak Yaralanmaları Nedir?
Eklem kıkırdağı vücutta eklemlerin yüzeyini kaplayan, sürtünmeyi azaltıp eklem hareketini kolaylaştıran, şok emici olarak görev yapan ve yük taşıyacak şekilde tasarlanmış, ortalama 2-4 mm kalınlığında, kansız ve sinirsiz bir yapıdır. Eklem kıkırdakları akut olarak yaralanabileceği gibi, zaman içinde yavaş yavaş aşınıp hasarlanabilir.

Normal eklem aralığı ve eklem kıkırdağı
İleri yaşlarda eklem kıkırdağı çeşitli şekillerde hasar görerek yumuşar, eklem içine dökülür ve altındaki kemik ortaya çıkar. Bu yaygın aşınmanın geriye dönüşü yoktur ve önce ilaç daha sonra cerrahi tedaviler gerektirir. Buna karşın genç bireylerde eklem kıkırdağında bölgesel hasarlar meydana gelebilir ki bu durumda kıkırdak yenileyici tedaviler yapılabilir.
Kıkırdak Yaralanmaları Nasıl Oluşur?Bu yaralanmalar yaygın olarak spor karşılaşmaları veya trafik kazaları sırasında ekleme gelen darbeler sonucunda meydana gelir. En sık diz ekleminde ortaya çıkar. Osteokondritis dissekans adı verilen hastalıkta da eklem kıkırdağı hasarlanmıştır.

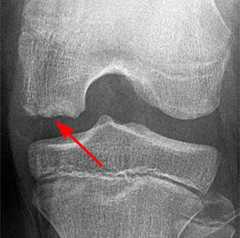
Diz eklem kıkırdağında hasarlanma
Kıkırdak Hasarı Oluşumunda Risk Faktörleri
Kıkırdak yaralanmalarının ortaya çıkmasını kolaylaştıran faktörler şunlardır:
Kıkırdak Yaralanması Belirtileri
En sık eklemde ağrı, şişlik ve takılma hissiyle kendini gösterir. Kopan bir parça varsa, eklem içinde serbest halde gezen bu parça hastalar tarafından hissedebilir. Bu parçaya eklem faresi adı verilir. Belli bir boyutun üstündeki kıkırdak yaralanmalarında, eklemin yük taşıma özellikleri bozulur ve zaman içinde artroz bulguları ortaya çıkabilir.
Kıkırdak Yaralanmaları Tanısı
Kıkırdak yaralanmalarının tanısı için öncelikle hastanın şikayeti ve hikayesi öğrenilir. Sonrasında ayrıntılı bir muayene yapılır ve gerekirse röntgen, MRG, MR-artrografi ve artroskopi gibi görüntüleme yöntemlerine başvurulur.
Kıkırdak yaralanmalarının ortaya çıkmasını kolaylaştıran faktörler şunlardır:
• Fazla kilo
• Travma
• Eklem dengesizliği
• Beslenme
• Dizilim bozukluğu
• Avasküler nekroz
• Genetik yatkınlık
• Travma
• Eklem dengesizliği
• Beslenme
• Dizilim bozukluğu
• Avasküler nekroz
• Genetik yatkınlık
Kıkırdak Yaralanması Belirtileri
En sık eklemde ağrı, şişlik ve takılma hissiyle kendini gösterir. Kopan bir parça varsa, eklem içinde serbest halde gezen bu parça hastalar tarafından hissedebilir. Bu parçaya eklem faresi adı verilir. Belli bir boyutun üstündeki kıkırdak yaralanmalarında, eklemin yük taşıma özellikleri bozulur ve zaman içinde artroz bulguları ortaya çıkabilir.
Kıkırdak Yaralanmaları Tanısı
Kıkırdak yaralanmalarının tanısı için öncelikle hastanın şikayeti ve hikayesi öğrenilir. Sonrasında ayrıntılı bir muayene yapılır ve gerekirse röntgen, MRG, MR-artrografi ve artroskopi gibi görüntüleme yöntemlerine başvurulur.
![]() |
![]() |
| Eklem kıkırdağında bozulma olan dizin; A. Röntgen filmi, B. MR görüntüsü |
|

Diz ekleminde kıkırdak yaralanmasının artroskopik görüntüsü
Kıkırdak Yaralanmaları Tedavisi
Eklemin yük taşımayan bölgesinde ve 1 cm2’den küçük kıkırdak hasarları eğer şikayetlere yol açmıyorsa sadece aralıklı izlem ile takip edilebilir. Ancak belirti veren ve yük taşıyan bölgede yerleşen, 1 cm2’den büyük lezyonlar varsa, tedavi kesinlikle şarttır. Genç erişkinlerde, kıkırdak yaralanmalarının tedavisi cerrahidir. Tedavi artroskopi ile başlar ve gerekirse açık cerrahiye geçilir.
Kıkırdak yaralanmalarında uygulanan cerrahi yöntemler şunlardır:

Mozaikplasti uygulaması
Eklemin yük taşımayan bölgesinde ve 1 cm2’den küçük kıkırdak hasarları eğer şikayetlere yol açmıyorsa sadece aralıklı izlem ile takip edilebilir. Ancak belirti veren ve yük taşıyan bölgede yerleşen, 1 cm2’den büyük lezyonlar varsa, tedavi kesinlikle şarttır. Genç erişkinlerde, kıkırdak yaralanmalarının tedavisi cerrahidir. Tedavi artroskopi ile başlar ve gerekirse açık cerrahiye geçilir.
Kıkırdak yaralanmalarında uygulanan cerrahi yöntemler şunlardır:
|
•
|
Mikrokırık Yöntemi: Sınırlı ve 3 cm2’den küçük kıkırdak yaralanmasında uygulanan bir tedavi yöntemidir. Bu yöntemin avantajları tek bir ameliyat gerektirmesi ve artroskopi ile yapılmasıdır. Dezavantajı ise, oluşan tamir dokusunun kıkırdak benzeri olmasıdır. Yeni kıkırdak benzeri doku oluşana kadar, ameliyat sonrası altı-sekiz hafta eklem yüklenmeden korunmalıdır.
|
![]() |
![]() |
| A. Kıkırdak lezyonu ve B. Mikrokırık uygulaması | |
|
•
|
Mozaikplasti: Bu işlemde; eklemin yük taşımayan bölgesinde, 6-8 mm çapında ve 15 mm boyunda kıkırdak ve kemikten oluşan silindirik parçalar alınır ve bunlar yük taşıyan bölgedeki hasarlı alana nakledilir. Bu teknik 4cm2’nin altındaki hasarlarda uygulanır. En sık diz ve ayak bileği eklemlerinde uygulanır. Artroskopik veya açık yöntemle yapılabilir. Avantajları arasında normal kıkırdağın mimari yapısında bir parçanın hasarlı bölgeye nakledilmesidir. Dezavantajı, sınırlı sayıda doku nakli yapılmasıdır. Tekniğin özelliği dolayısı ile hasarlı bölgenin ancak % 70’i nakledilen kıkırdak ile doldurulabilir, nakledilen silindirler arasında kalan bölge kıkırdak benzeri bir tamir dokusu ile iyileşir.
|
Mozaikplasti uygulaması
|
•
|
Kıkırdak Nakli: Bu işlem son yıllarda üzerinde yoğun bilimsel gelişmelerin olduğu bir alandır. Bu yöntemde kıkırdak hücreleri matriks adlı taşıyıcı doku içinde üretilir ve bu doku hasarlı alana yapıştırılır. Ve böylece işlem tamamlanır. Bu işlemin en büyük avantajlarından biri, herhangi bir dokuya zarar vermeden hastanın kendi hücrelerinin, hasarlı alana istenen miktarda aktarılmasıdır.
|



