Halluks rigidus I. metatarsofalangeal (MTF) eklemin osteoartritine bağlı hareket kısıtlılığı ve ağrı ile seyreden klinik bir tablodur. Ayakta en sık görülen artritik durum olup, halluks valgustan sonra ayak başparmağını etkileyen ikinci en sık hastalıktır. Halluks valgusa oranla klinik olarak hastayı daha çok kısıtlayan bir tablodur. Genellikle 30 ila 60 yaş arasındaki yetişkinlerde gelişir. Tüm yaş gruplarında kadınları daha sık etkilemektedir. Genelde tek taraf, tedavi gerektirecek kadar şiddetli olmakla birlikte %80 iki taraflı tutulum gösterir.
Anatomi
Ayak başparmağı iki eklemden oluşur. Bunlardan en büyüğü, ayağın ilk uzun kemiğinin (metatarsal) ayak parmağının ilk kemiğiyle (falanks) buluştuğu metatarsofalangeal eklemdir (MTP). İşlevi, zemini kavramak ve yürürken ayak esnekliğini sağlamaktır. Her eklemde olduğu gibi MTP ekleminde de kemiklerin uçları pürüzsüz bir eklem kıkırdağıyla kaplıdır.
Bu kıkırdak hasar görürse kemik uçları birbirine sürtünebilir. Daha sonra ayak başparmağının tabanındaki kemiğin üstünde bir kemik çıkıntısı (osteofit) veya aşırı büyüme gelişebilir. Bu aşırı büyüme, yürürken ayak parmağının gerektiği kadar bükülmesini engelleyebilir. Daha sonraki aşamalarda, tüm kıkırdak aşınır ve artrit gelişir.

A. Halluks rigidusta eklemdeki bozukluğun görünümü

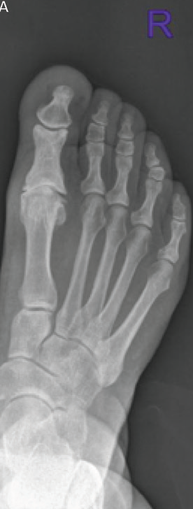
B. Halluks rigiduslu hastanın röntgen filmi
Halluks rigidus gelişiminde
|
•
|
Yaşlanma
|
|
•
|
MTP eklemi aşırı kullanma
|
|
•
|
Travma
|
|
•
|
Enfeksiyon
|
|
•
|
İnflamatuvar artropatiler (gut, romatoid artrit)
|
|
•
|
Ayakta basma kusurları (düz tabanlık).
|
|
•
|
Halluks valgus
|
|
•
|
Genetik faktörler rol oynar.
|
Halluks Rigidus Belirtileri
Halluks rijidus belirtileri değişebilir ve aşağıdakilerden bir veya daha fazlasını içerebilir:
|
•
|
Başparmağın içinde veya çevresinde ağrı (Ağrı genellikle ayak parmağınızın üstündeymiş gibi hissedilir ancak daha derinde veya ayak parmağınızın içinde de hissedebilirsiniz),
|
|
•
|
Başparmak ekleminde sertlik
|
|
•
|
Başparmak eklemi etrafında şişlik
|
|
•
|
Ayak başparmağında hareket kısıtlılığı
|
|
•
|
Ayak başparmağının üstünde bunyon veya nasır gibi görünen bir şişlik
|

Ayak başparmağı üzerindeki şişlik
Tedavi
Ameliyatsız Tedavi: Halluks rijidus için tavsiye edilen ameliyatsız tedavi yöntemleri şunlardır:
|
•
|
Doktorunuzun gözetiminde ağızdan alınan ve lokal olarak kullanılan ağrı kesici ilaçlar kullanınız.
|
|
•
|
Buz uygulaması yapınız.
|
|
•
|
Kontrast banyo (Ağrıyı azaltmak için alternatif soğuk ve sıcak su kullanır. Bir kovaya dayanabileceğiniz kadar soğuk su, diğerine ise dayanabileceğiniz kadar sıcak su koyunuz. Ayağınızı 30 saniye boyunca soğuk suya batırınız, ardından hemen 30 saniye boyunca sıcak suya koyunuz. 5 dakika boyunca soğuk ve sıcak arasında geçiş yapmaya devam ediniz ve soğuk suyla bitiriniz. Günde 3 defaya kadar kontrast banyoları yapabilirsiniz)
|
|
•
|
Ayakkabı değişiklikleri (Geniş burunlu, rahat ayakkabılar giyiniz. Yüksek topuklu ayakkabılar veya ayak parmaklarınızı sıkıştıran ayakkabılar giymekten kaçınınız)
|
|
•
|
Ayak parmak hareketlerini sınırlayan pedler kullanınız
|
|
•
|
Eklem içine kortikosteroid enjeksiyonları (Sorunu çözmez ancak birkaç ay boyunca ağrıyı hafifletme potansiyeline sahiptir)
|
Ameliyatla Tedavi: Çoğu insanın halluks rijidus tedavisinde ameliyata ihtiyacı yoktur. Diğer tedaviler şikâyetleri hafifletmezse ameliyat önerilebilir. Halluks rijidus için şu cerrahi işlemler yapılır:
|
•
|
Çeilektomi: Hafif veya orta derecede halluks rijidus hastalarına önerilir. Ayak başparmağının bükülmesi için daha fazla alana sahip olması için ayak başparmağı kemiğinin bir kısmının yanı sıra kemik çıkıntılarının da çıkarılmasını içerir.
|

Çeilektomi ameliyatı
|
•
|
Artrodez: Ayak başparmağının kıkırdak hasarı ciddi olduğunda genellikle kemiklerin birbirine kaynaştırılması (artrodez) önerilir. Artrodez sırasında eklemin kalıcı bir pozisyonda sabitlenmesi için, vidalar veya plak kullanacaktır. Şiddetli halluks rijiduslu veya çeilektominin başarısız olduğu hastalarda ağrıyı azaltmanın en güvenilir yolu artrodezdir.
|

|
•
|
Artroplasti: MTP eklem yüzeyleri çıkarılarak yapay bir eklem yerleştirilmesidir. Bu ameliyat ağrıyı hafifletebilir ve eklem hareketini koruyabilir.
|

Artroplasti yapılmış hastanın röntgen filmi
İyileşme Süreci
İyileşmenin ne kadar süreceği, tedavi yöntemine ve halluks rijidusun ne kadar şiddetli olduğuna bağlıdır.
Çeilektomi ve artroplasti yapılan hastaların çoğu uzun süreli rahatlama yaşar. Hastaların ameliyattan sonra ayak parmaklarını erken hareket ettirmeye başlamaları önemlidir. Ayak parmağı ve ameliyat bölgesi de birkaç ay boyunca şişmiş kalabilir.
Artrodez yapılan hastaların çoğunda, ameliyattan sonraki ilk 6 hafta boyunca alçı uygulanacaktır. Alçı çıkarıldıktan sonra hastalar koltuk değneği kullanacaklar ve bir bot ya da sert tabanlı bir ayakkabı giyeceklerdir. Şişlik 3 ila 6 ay sürebilir.